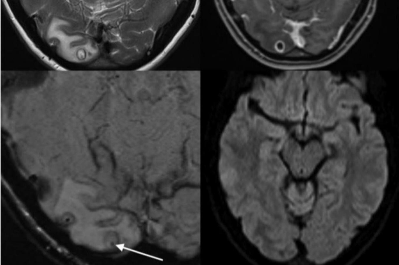
görüşünü dahi etkileyen korkunç baş ağrıları nedeniyle doktorların kapısını çaldı. Adeta kabus gibi günler yaşayan Rostro’nun baş ağrılarının sebeplerini keşfeden doktorlar dehşete düştü… Detaylar diğer sayfada g’örselle devam edin.


Dışkı ile kontamine gıdaların pek çok insanı pas geçtiğini kaydeden Dr. Meyrat, Yadira’nın şanssız olduğunu söyledi.Yadira Rost, şimdi tamamen iyileşmeyi bekliyor. Ama muhtemelen cerrahi görüntüyü hiçbir zaman izlemek istemeyecek…
Kadın Her Gün Yaşlı Kadına Küçük Bir Bahşiş Bırakıyordu
devamı içi
Gece saat 12 ile sabah 6 arası