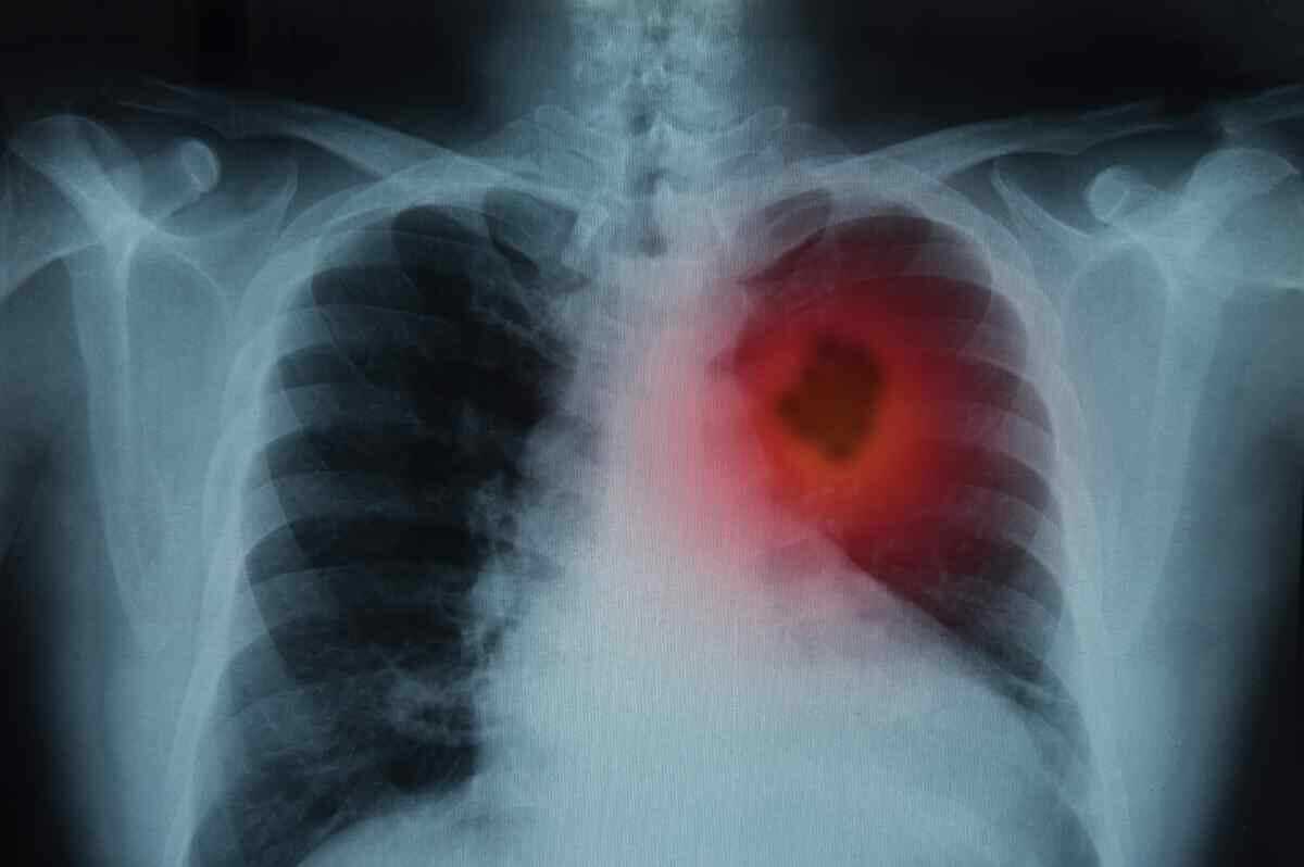
Ölüme yol açan en sık hastalıklardan biri olan akciğer kanseri hakkında yeterli bilgiye sahip misiniz? İşte akciğer kanserinin 12 belirtisi.
Akciğer vücudumuzun oksijen gereksinimini sağlayan organımızdır. Her organ gibi akciğerimiz de birçok hücreden oluşur. Bu hücreler akciğerin normal olarak görevini yapabilmesi için ihtiyaç doğrultusunda bölünerek çoğalırlar. Akciğer kanseri, yapısal olarak normal akciğer dokusundan olan hücrelerin ihtiyaç ve kontrol dışı çoğalarak akciğer içinde bir kitle (tümör) oluşturmasıdır. Burada oluşan kitle öncelikle bulunduğu ortamda büyür, daha ileriki aşamalarda ise çevre dokulara veya dolaşım yoluyla uzak oranlara yayılarak (karaciğer, kemik,beyin vb. gibi) hasara yol açarlar. Bu yayılmaya metastaz adı verilir.
devamı için gecerek ilerleyiniz






